糖心vlog

【糖心vlog 】以微知形 为爱负责
发布时间:2020-10-10 浏览:3913 次

放射科是医院非常重要的科室,能够为临床诊断提供准确、真实、客观的影像,是疑难病变诊断的重要依据,在整个医学诊疗中发挥着重要作用。糖心vlog 作为一站式供应商,我们竭尽全力为医院提供好的产品和服务,帮助医生进行精准诊断,用科技呵护健康

提到医院放射科,你会想到什么?

辐射大不大?病变能否看得清楚?拍摄病人很多?等片的时间很长?......

多功能动态DR作为放射科的一员,能给医生提供哪些有力的帮助和支持呢?一起去看看吧!

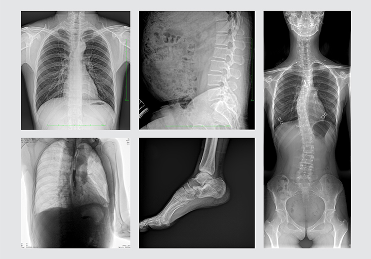
清晰的临床图像

多功能动态DR展示视频

糖心-糖心vlog官网-记录美好生活甜蜜的瞬间 糖心-糖心vlog官网-记录美好生活甜蜜的瞬间 糖心-糖心vlog官网-记录美好生活甜蜜的瞬间 糖心-糖心vlog官网-记录美好生活甜蜜的瞬间 糖心-糖心vlog官网-记录美好生活甜蜜的瞬间