高清口腔三维CT/全景影像 PLX3000A
PLX3000A口腔颌面锥形束计算机体层摄影设备
手术导航定位系统
PL300B
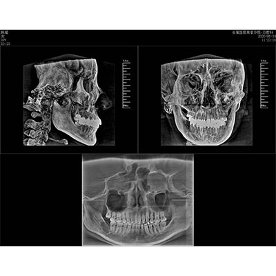
该款牙科CBCT产品采用动态平板探测器,获得三维图像的同时还具有数字化全景功能,广泛应用于口腔颌面外科、正畸科、正颌外科、种植科、牙体科、颞下颌关节科等术前术后。
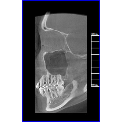
采用高端平板探测器,分辨率高、图像质量优。
采集旋转过程中,X射线光源持续时间极短,呵护患者健康。
专有三维重建算法,可提供任意位置高清断层影像。
通过三维容积影像,提取高清口腔全景影像。
专有图像校正技术,去除金属伪影,提高图像分辨率。
可同时观察轴向面、冠状面和矢状面图像,方便临床诊断。