糖心vlog

PLD9600

数字透视摄影系统

一机多能·广泛应用 PLD9600

PLD9600 系列医用诊断X射线机

普利德医疗自主研发的新一代数字化X线透视摄影系统,可应用于DR摄影、数字透视、数字造影以及可视化精准DR拍片等多种临床X线检查领域。

高品质数字化影像链

● 17*17英寸的超高清像素动态平板探测器,更大的视野范围,无需移动即可观察整个动态过程,避免拖尾、噪声对图像的影响;

● 高效动态平板技术,图像不会有几何畸变,提供高分辨率和精确的图像,为医生临床诊断提供精准依据;

● 最高帧速可达30帧/秒,动态采集清晰流畅,避免漏诊、误诊情况的发生;

● 在可视过程或回放过程中,如发现疑似病灶,可进行毫秒级高清点片,随时抓取单帧图像,精准捕抓病灶。

智能升降床体设计(选配)

● 独特实用的床面升降功能,有利于DR摄影及行动不便的患者上下床;

● 床面可降至与病床平行高度,既方便医护人员平移患者,又避免对患者的二次伤害;

● 对于医生的近台操作也更方便,不同身高的医生可根据需要调节床体高度,更利于医生开展相关近台手术。

灵活高效多维度运动

●球管摆动自如

球管倾斜摄影角度-45°~45°,满足临床各部位各角度的摄影需求。如:髌骨轴位、颈椎正位、骶尾椎、鼻窦瓦氏位、梅氏位等部位检查。

●球管拉伸自由

拉伸自如:SID电动拉伸,最长可延伸至1.8米,满足放射科室各种拍片距离的需求。如:GBZ 70-2015职业性尘肺病的诊断标准中对胸片拍片距离1.8米的要求。

●立柱自由移动

点片装置移动范围大,无需患者移动就能完成全身各部位的检查;

床面横向移动,轻松实现机动人不动。

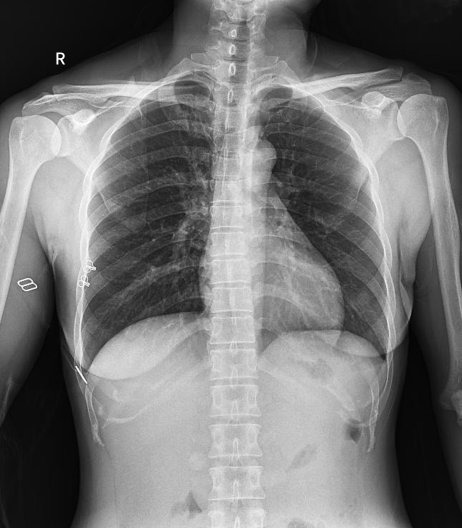
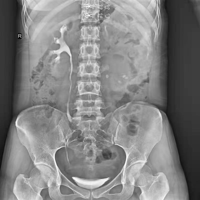
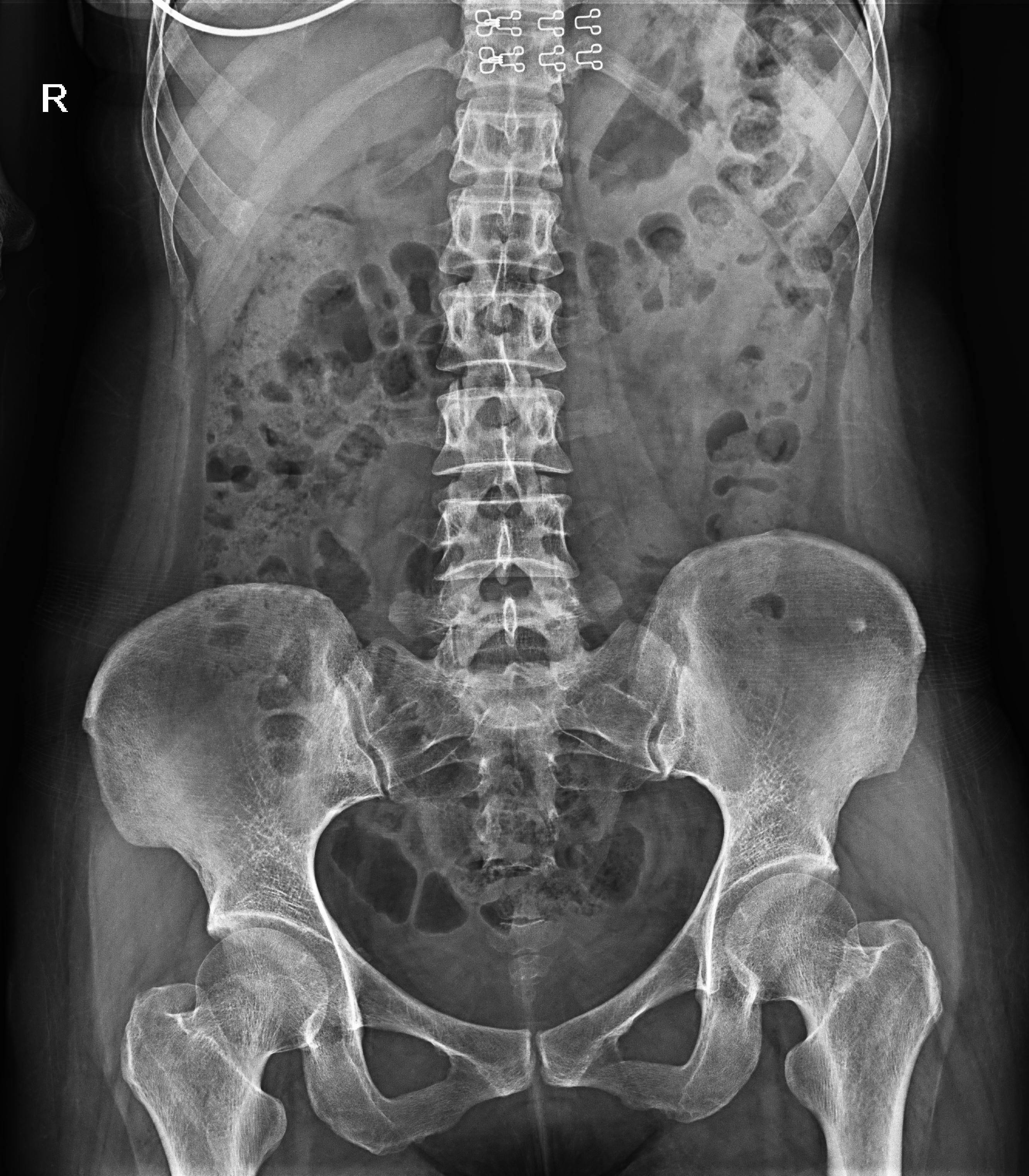
Clinical picture
临床图片
糖心-糖心vlog官网-记录美好生活甜蜜的瞬间 糖心-糖心vlog官网-记录美好生活甜蜜的瞬间 糖心-糖心vlog官网-记录美好生活甜蜜的瞬间 糖心-糖心vlog官网-记录美好生活甜蜜的瞬间 糖心-糖心vlog官网-记录美好生活甜蜜的瞬间